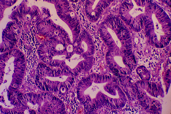
Adenocarcinoma of the colon, histology
Click picture to enlarge. Close window to return

The multilayered epithelium lining the glandular lumina is composed of hyperchromatic cells.