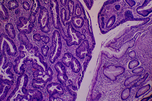
Adenocarcinoma of the colon, histology
Click picture to enlarge. Close window to return

The tumor is composed of irregularly shaped interostomosing glands lined by hyperchromatic cells. Compare the carcinoma with the normal colonic epithelium in the right lower part of the photograph.