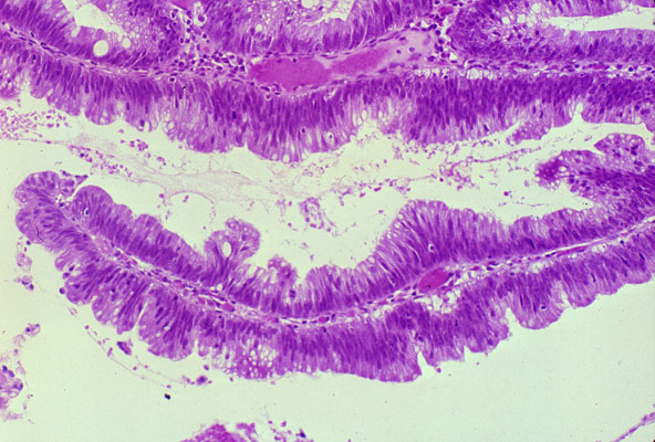
Villous adenoma, histology
Click picture to enlarge. Close window to return

The tumor is composed of mucin rich cells lining finger like villi. The villi have a central vascular core.