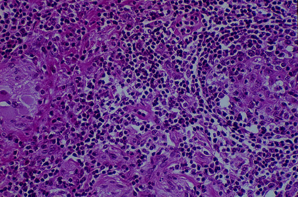
Crohn disease, histology
Click picture to enlarge. Close window to return

The infiltrate in the wall of the large intestine consists of chronic inflammatory cells and loosely structured histiocytic granulomas.