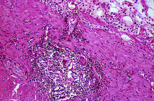
Crohn disease, histology
Click picture to enlarge. Close window to return

This photograph shows the muscle layer of the large intestine which contains a granuloma with multinucleated giant cells.