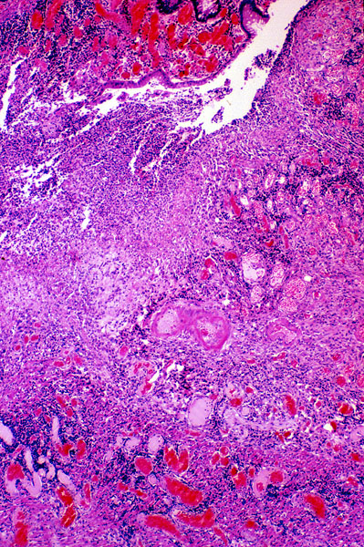
Crohn disease, histology
Click picture to enlarge. Close window to return

The surface of the large intestine is ulcerated. The underlying wall is diffusely infiltrated with chronic inflammatory cells.