Ulcerative colitis, histology
Click picture to enlarge. Close window to return

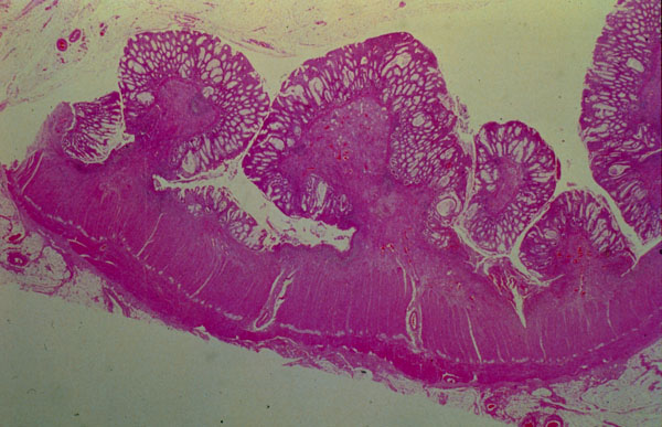
The ulcers have destroyed significant portions of the mucosa. The residual mucosa protrudes above the surface of the ulcers in the form of polyps. Since these are not true neoplastic polyps, such residual portions of the mucosa are called pseudopolyps.