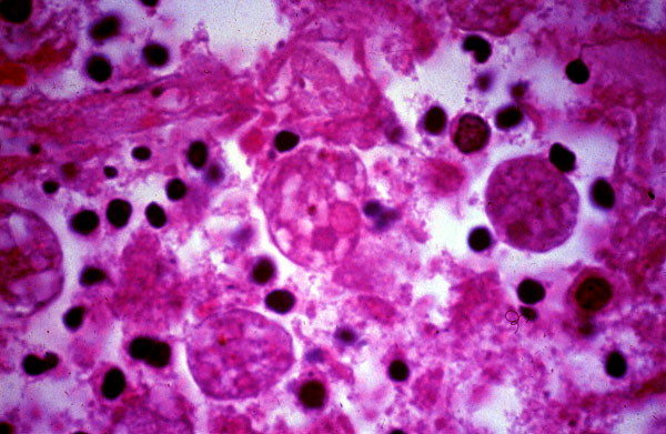
Amebiasis, histology, high magnification
Click picture to enlarge. Close window to return

The exudate contains several amoebas which have vacuolated cytoplasm and contain phagocytosed red blood cells.