Amebiasis, histology, high magnification
Click picture to enlarge. Close window to return

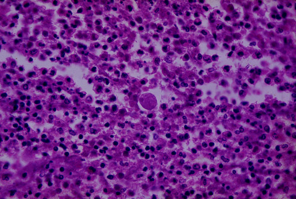
The exudate consists predominantly of polymorphonuclear leukocytes. A round Entamoeba histolytica is seen in the middle of the field.