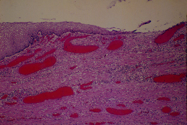
Esophageal varices, histology
Click picture to enlarge. Close window to return

The submucosa of the esophagus contains dilated veins extending all the way to the face of the ulcerated mucosa.