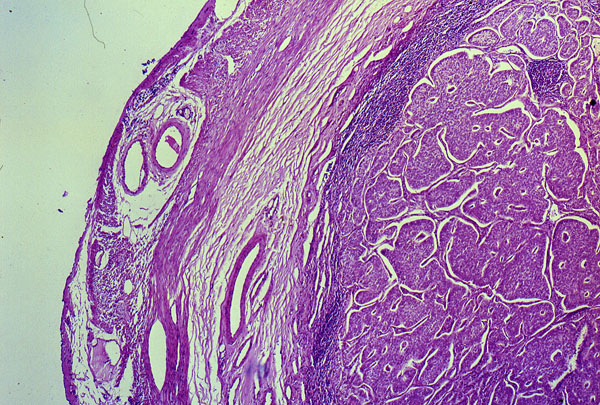
Carcinoid of the appendix, histology
Click picture to enlarge. Close window to return

The lumen of the appendix is obliterated by solid masses of uniform cells.