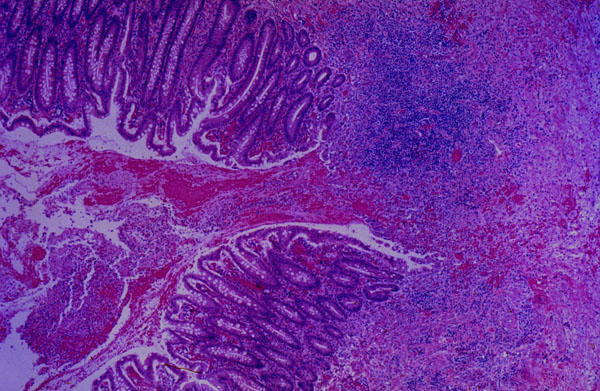
Acute appendicitis, histology
Click picture to enlarge. Close window to return

The mucosa of the appendix shows focal ulceration. The defect of the epithelium contains mucus and inflammatory exudate which extends into the lumen of the appendix.