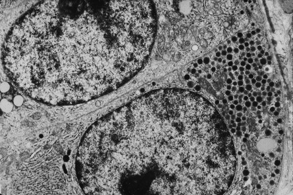
Carcinoid, electron microscopy
Click picture to enlarge. Close window to return

By electron microscopy, the cytoplasm of carcinoid cells contains small neuroendocrine granules. These neuroendocrine granules are rich in polypeptide hormones and biogenic amines like histamine and serotonin.