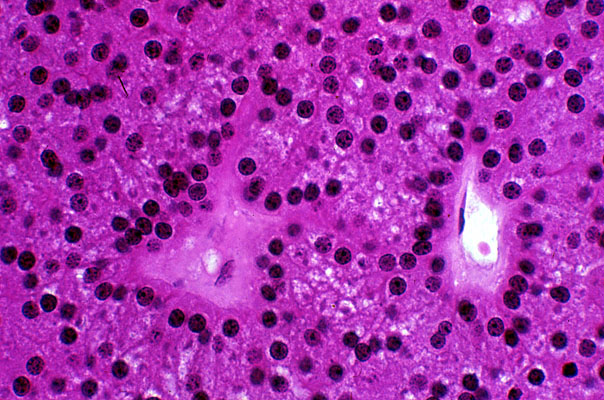
Carcinoid of the small intestine, histology
Click picture to enlarge. Close window to return

The tumor is composed of cells that have uniform round nuclei. The cells form solid sheets. Tumor cells do not form glandular or ductal structures but surround the small blood vessels in a rosette-like manner.