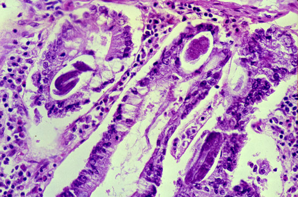
Strongyloidiasis
Click picture to enlarge. Close window to return

The crypts of the small intestine contain convoluted worms.