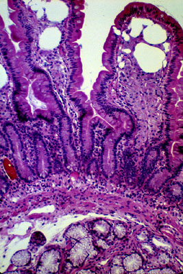
Whipple disease, histology
Click picture to enlarge. Close window to return

The villi of the small intestine are infiltrated with histiocytes. The lymphatic channels are obliterated and compressed by the histiocytic infiltrate which accounts for the dilatation of lymphatics (lecteals) in the upper part of the villi.