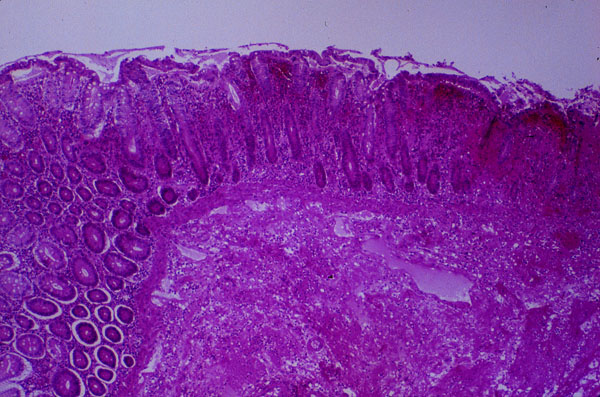
Hemorrhagic infarct of the intestine, histology
Click picture to enlarge. Close window to return

The mucosa in the right part of the picture is still partially preserved. On the left side, the mucosa has lost its normal architecture and it appears amorphous and permeated with blood.