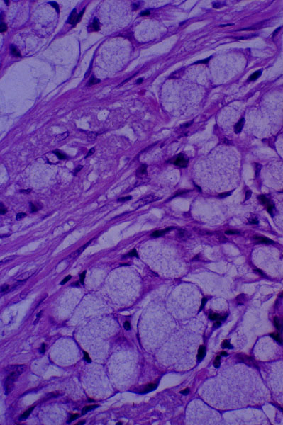
Gastric carcinoma
Click picture to enlarge. Close window to return

This carcinoma is composed of signet ring cells. The signet ring cells have abundant cytoplasm filled with mucus and peripherally displaced the nuclei which are seen underneath the cell membrane.