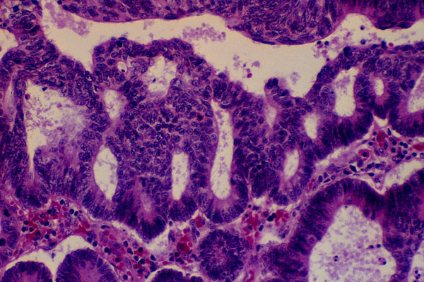
Gastric carcinoma, histology
Click picture to enlarge. Close window to return

The tumor is composed of atypical irregular glands arranged back to back and composed of hyperchromatic cells.