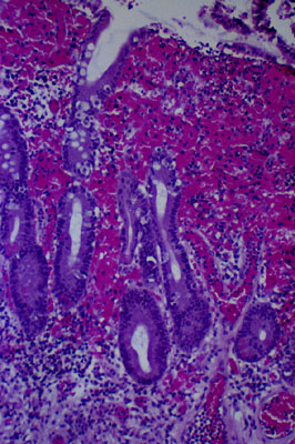
Stress ulcer of the stomach, histology
Click picture to enlarge. Close window to return

The superficial portion of the gastric mucosa is permeated with blood. The upper part of gastric mucosa is devoid of epithelial cells that have been lost due to ischemia.