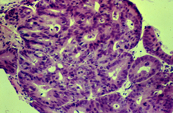
Adenocarcinoma of the esophagus
Click picture to enlarge. Close window to return

This tumor which arose in Barrett esophagus in the lower portion of the esophagus is an adenocarcinoma composed of irregular interanastomosing atypical glands.