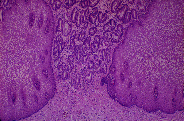
Barrett esophagus, histology
Click picture to enlarge. Close window to return

The squamous epithelium of the esophagus is focally replaced by glandular epithelium.