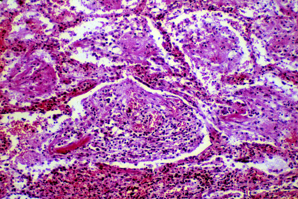
Organizing pneumonia
Click picture to enlarge. Close window to return

One of the complications of bacterial pneumonia includes organization of the exudate, as shown on this slide. Neutrophils have largely disappeared and are replaced by mononuclear cells and macrophages, with evidence of early fibrosis.