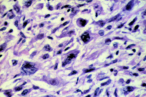
Malignant mesothelioma
Click picture to enlarge. Close window to return

Malignant mesothelioma, higher power, showing malignant mesothelial/epithelial like cells and malignant spindle cells. Malignant mesotheliomas may be difficult to diagnose histologically, requiring multiple special stains and occasionally electron microscopy to correctly classify the tumor.