Malignant mesothelioma
Click picture to enlarge. Close window to return

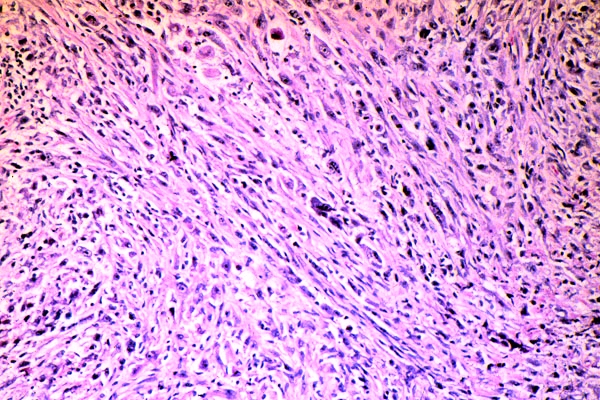
Malignant mesothelioma, microscopic appearance. Malignant mesotheliomas may be composed of mesothelial/epithelial like cells or malignant spindle cells resembling a sarcoma. Malignant mesotheliomas may also have a biphasic pattern (including spindle cells and mesothelial/epithelial cells).