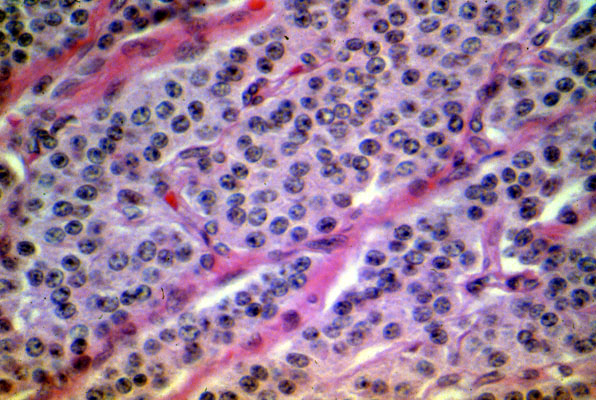
Carcinoid tumor
Click picture to enlarge. Close window to return

This higher power of a carcinoid tumor shows the uniform, bland, appearance of the cells.