Large cell carcinoma
Click picture to enlarge. Close window to return

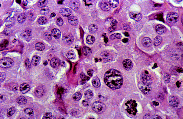
Large cell carcinoma, microscopic appearance. This tumor is composed of large malignant cells without evidence of squamous or glandular differentiation. Mucin stains were negative. This tumor could be classified as a large cell carcinoma or as a poorly differentiated carcinoma, non-small cell type. If the mucin stain had been positive in this tumor, it would have been classified as a poorly differentiated adenocarcinoma (solid type).