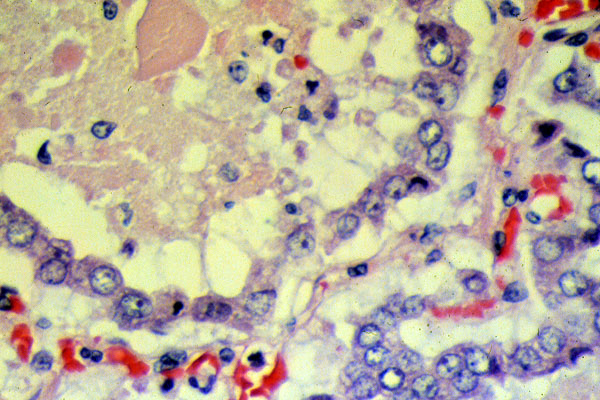
Bronchioloalveolar carcinoma
Click picture to enlarge. Close window to return
This is a higher power of a bronchioloalveolar
carcinoma
. Notice the neoplastic cells lining up on pre-existent alveolar walls.