Bronchioloalveolar carcinoma
Click picture to enlarge. Close window to return

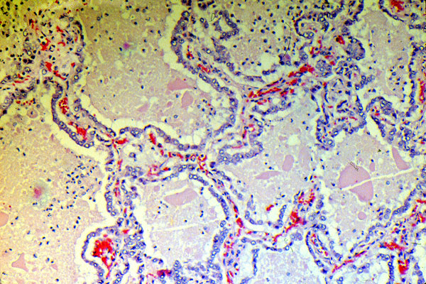
This is the typical microscopic appearance of a bronchioloalveolar carcinoma. It is distinguished from all other lung tumors by the preservation of the pre-existent lung architecture. Cuboidal to columnar shaped neoplastic cells line up on the pre-existent alveolar septa with little or no fibrosis and little cellular pleomorphism or anaplasia.