Squamous cell carcinoma
Click picture to enlarge. Close window to return

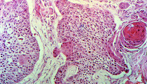
This is an example of a well differentiated squamous cell carcinoma. By definition, squamous cell carcinomas must have at least one of three features: individual cell keratinization, keratin pearls, and/or inter cellular bridges. Nests of tumor cells with squamous features are present in a fibrous (desmoplastic) stroma. Notice the keratin pearl composed of circular whorls of keratinaceous material containing nuclei. Individual cell keratinization and keratin pearls are more evident in better differentiated tumors.