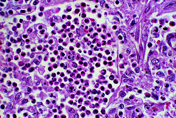
Bacterial pneumonia
Click picture to enlarge. Close window to return
Bacterial
pneumonia
, on higher power, is characterized by a predominance of neutrophils that fill alveolar spaces.