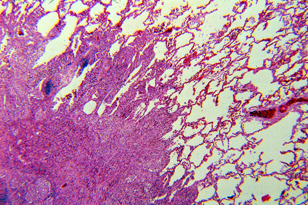
Pulmonary eosinophilic granuloma
Click picture to enlarge. Close window to return

Pulmonary eosinophilic granuloma is a patchy, nodular interstitial lesion that often has an irregular or stellate outline owing to the extension of the interstitial infiltrate along the alveolar septa. The infiltrate may be cellular, or as healing progresses, the entire lesion may be transformed into a stellate scar. This slide shows partially healed lesions with some areas representing scars and other areas containing the cellular infiltrate of eosinophilic granuloma.