Silicosis
Click picture to enlarge. Close window to return

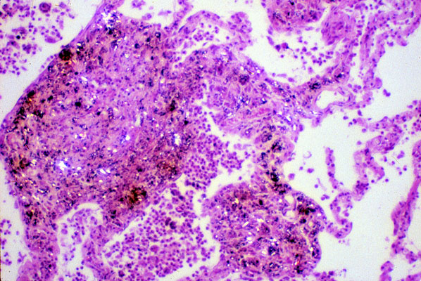
Silicosis is a pneumoconiosis caused by inhalation of silica, characterized histologically by aggregates of mononuclear cells and fibroblasts, with silicotic nodules being composed of concentric whores of dense sparsely cellular collagen. On polarization, as shown on this slide, there are doubly refractile silicates which appear as small needle-like structures.