Coal workers pneumoconiosis
Click picture to enlarge. Close window to return

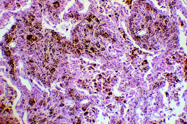
The characteristic pulmonary lesions are coal dust macules, which grossly appear as small black areas (1 to 4 mm in diameter) scattered throughout the lungs. This is the microscopic appearance of a black macule composed of carbon laden macrophages and occasional lymphocytes.