Sarcoidosis
Click picture to enlarge. Close window to return

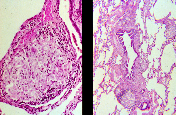
Sarcoidosis is a multiple system granulomatous disease of unknown etiology which frequently involves the lung. There are nodular aggregates of epithelioid histiocytes forming non caseating granulomas, which typically are found along lymphatic pathways (Note: Nodules in close proximity to the bronchioles.)