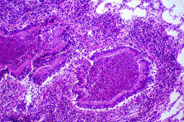
Acute bronchopneumonia
Click picture to enlarge. Close window to return
Histologically, acute bronchopneumonia consists of a
suppurative
,
neutrophil
-rich
exudate
that fills bronchioles and alveolar spaces, as shown on this slide.