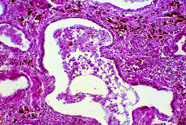
Honeycomb lung
Click picture to enlarge. Close window to return

Honeycomb lung, may be seen in a variety of conditions including UIP, DIP, DAD, and organic dust exposure etc. There is no recognizable normal lung tissue due to extensive restructuring of airspaces with obliteration of small airways, extensive fibrosis, and cyst formation. There are dilated abnormal airways containing mucinous material and inflammatory cells, with interspersed areas of fibrosis and chronic inflammation.