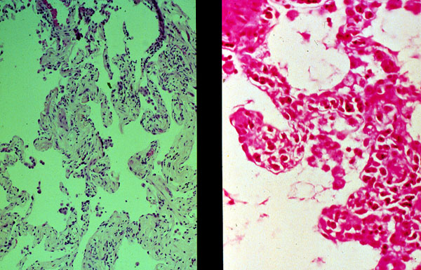
UIP
Click picture to enlarge. Close window to return

UIP showing variability in the type of process. On high power, one slide shows interstitial chronic inflammation with a predominance of lymphocytes. The other slide shows little inflammation, but extensive interstitial fibrosis with collagen deposition.