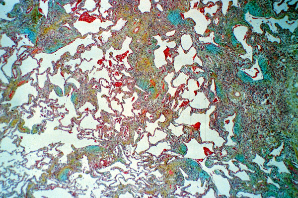
Usual interstitial pneumonia (UIP)
Click picture to enlarge. Close window to return

This is an interstitial inflammatory and fibrosing lesion characterized by marked variation in the degree of lung involvement and temporal heterogeneity. Notice some areas of normal lung tissue with thin delicate alveolar walls, and other areas where alveolar walls appear markedly thickened by interstitial chronic inflammation and fibrosis. This is a trichrome stain and areas of fibrosis stain green-blue.