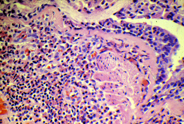
Bronchial asthma
Click picture to enlarge. Close window to return
Bronchial
asthma
, higher power. Notice inflammatory cells composed of lymphocytes and many eosinophils. There is prominent thickening of the basement membrane.