Asthma
Click picture to enlarge. Close window to return

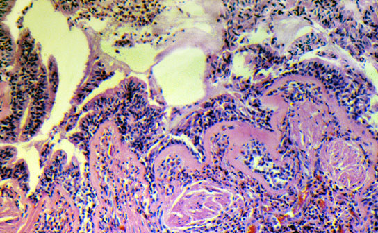
Typical microscopic features in the bronchi of asthmatic patients include thickening of the basement membrane, inflammatory infiltrates with eosinophilia, hypertrophy and hyperplasia of submucosal glands, hypertrophy of smooth muscle, goblet cell metaplasia, and luminal plugs composed of mucus, shed epithelial cells, and inflammatory cells. This slide of a bronchus shows prominent thickening of the basement membrane, inflammatory infiltrates with eosinophilia, and shed luminal epithelial and inflammatory cells.