Bronchiolitis obliterans-organizing pneumonia (BOOP)
Click picture to enlarge. Close window to return

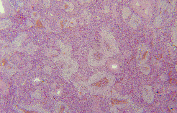
Bronchiolitis obliterans - organizing pneumonia (BOOP) is a predominantly airspace filling process. There is a distinct type of patchy fibrosis composed of polypoid irregular plugs of fibrous tissue filling bronchioles, alveolar ducts, and alveoli. These plugs of fibrous tissue are light staining and assume the serpiginous shapes of the air apaces that they fill.