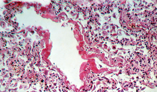
Adult respiratory distress syndrome
Click picture to enlarge. Close window to return

Diffuse alveolar damage (adult respiratory distress syndrome). This slide shows hyaline membranes in the central portion of the field, characterized by layered pink eosinophilic material. Hyaline membranes are the histologic hallmark of the early or exudative stage of DAD. There is also evidence of interstitial chronic inflammation. In the later proliferative stage of DAD, interstitial inflammation increases, as well as interstitial fibrosis and alveolar lining cell hyperplasia.