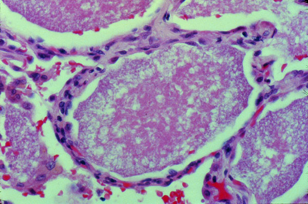
Pneumocystis carinii pneumonia
Click picture to enlarge. Close window to return

This is a higher power of pneumocystis carinii pneumonia, demonstrating the characteristic foamy vaculated intra-alveolar exudate. Notice the bubbly appearance of the exudate, which contains the organisms.