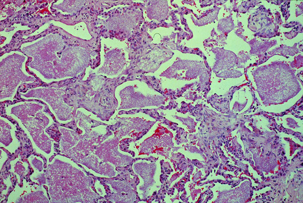
Pneumocystis carinii pneumonia
Click picture to enlarge. Close window to return

There is evidence of an interstitial pneumonitis; however, the most characteristic and prominent feature is the intra-alveolar frothy exudate. Alveolar spaces are filled with pink bubbly relatively acellular material forming cast-like structures.