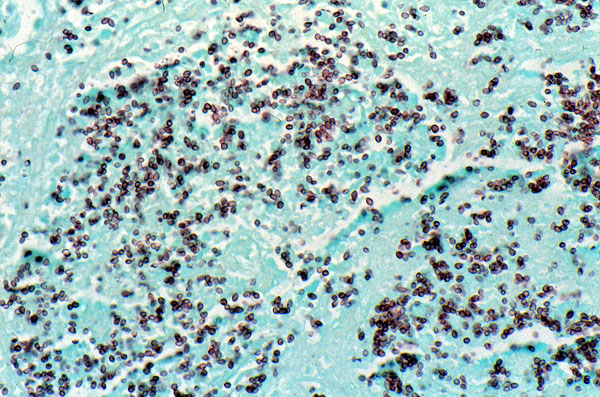
Histoplasma capsulatum
Click picture to enlarge. Close window to return

Silver stain of histoplasma capsulatum. Numerous small budding yeast are present.