Cryptococcus neoformans
Click picture to enlarge. Close window to return

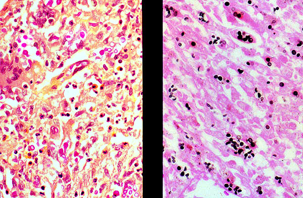
Cryptococcus neoformans, mucin stain and silver stain. On silver stain the organisms appear as small, black, irregular budding yeast. On mucin stain, the organisms appear as reddish pink budding yeast. This is one of the rare fungal elements that stain with mucin stain and this can be used to presumptively classify this organism histologically.