Viral infections
Click picture to enlarge. Close window to return

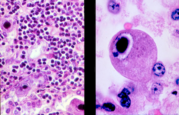
This slide of cytomegalovirus infection shows the typical cytopathic effect of CMV, characterized by intranuclear and intracytoplasmic inclusions. The intranuclear inclusions are large basophilic structures surrounded by a clear halo. The intracytoplasmic inclusions are small gray dot-like structures.