Aspiration pneumonia
Click picture to enlarge. Close window to return

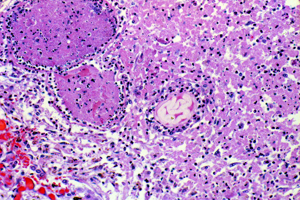
This slide shows aspiration of gastric contents, with little recognizable lung parenchyma. Aspiration of foreign material into the lung may produce a variety of clinical and pathologic syndromes, depending on the nature and amount of material inhaled and on the chronicity of the process. The round pink structure with serpentine clearing is an aspirated lentil seed, surrounded by acute inflammation and necrosis.