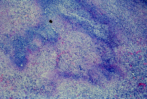
Wegener's granulomatosis
Click picture to enlarge. Close window to return

The key histologic features are necrotizing granulomatous inflammation and necrotizing vasculitis. This low power shows a large necrotic zone with an irregular "geographic" shape.